
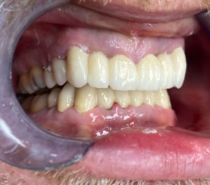
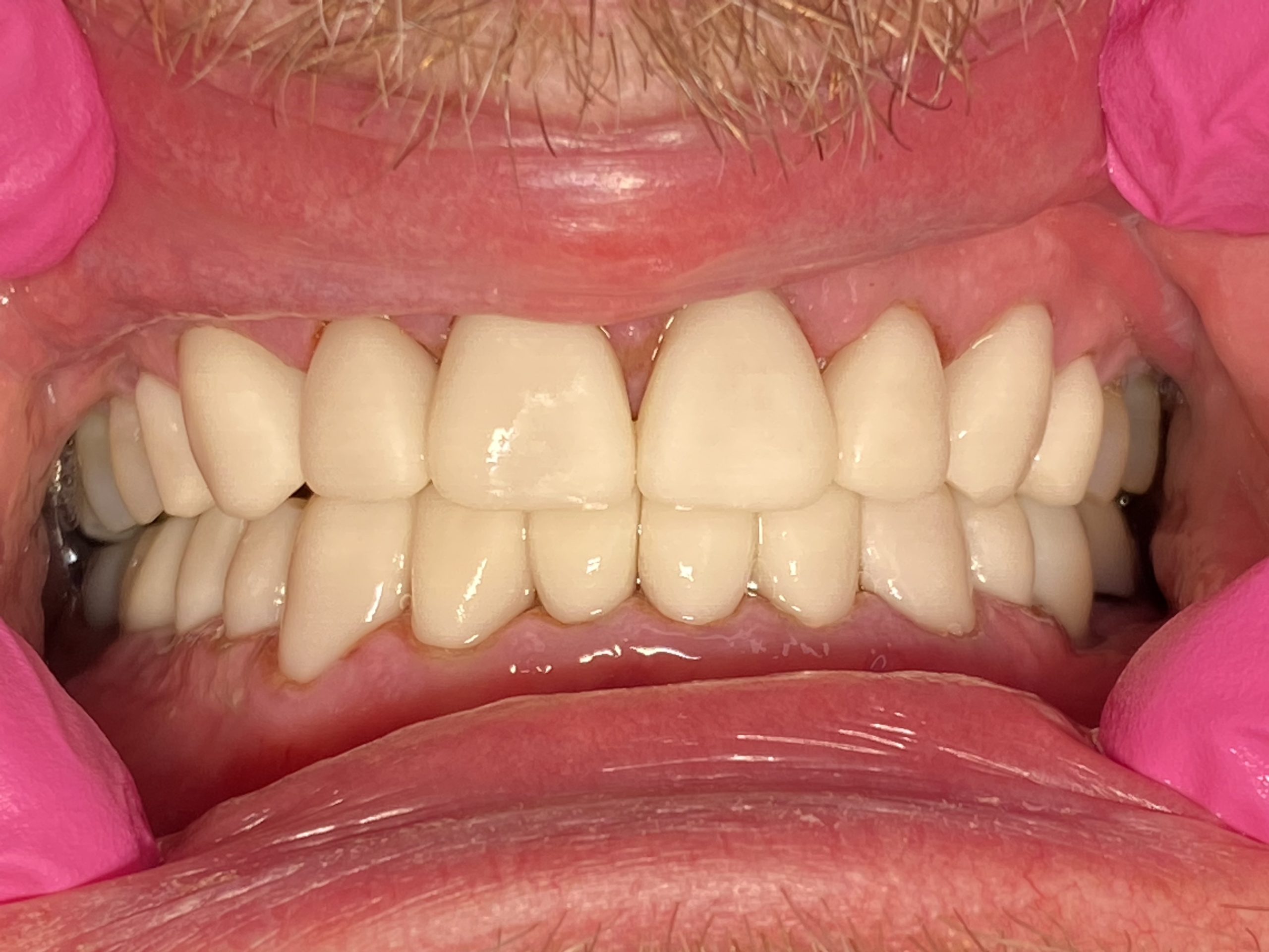
A smile can reveal more about a person than words ever could. When teeth are damaged, missing, or worn down, it doesn’t just affect appearance—it affects confidence, speech, and comfort when chewing. Dental crowns and bridges have long been two of the most reliable treatments to restore both functionality and beauty. But before deciding on treatment abroad or at home, many patients want to see real results. That’s why before and after photos are such powerful visual tools—they show genuine transformations that words alone can’t capture.
However, not all before and after photos are equal. Understanding what to look for can help you make a more informed and confident choice—whether you’re comparing dental clinics in Budapest or in Ireland or the UK. This guide, written by dental experts in Budapest with years of experience treating international patients, explains how to read these images critically and what signs to look for before scheduling your own dental treatment.
Why Before and After Photos Matter
Selecting a dentist based solely on price or location misses some of the most important factors: experience, attention to detail, and quality of craftsmanship. Before and after photos serve as real-world evidence of a dentist’s ability to handle complex cases—especially when it comes to aesthetic reconstructive work such as dental crowns and bridges.
These photos can illustrate:
-
How naturally crowns blend with existing teeth
-
The precision of bridge alignment and gum contour
-
The improvement in symmetry and bite balance
-
The subtle harmony between color, translucency, and tooth shape
When analyzed properly, before and after images tell a story—of skill, aesthetics, and the patient’s regained confidence.
Understanding the Difference Between Bridges and Crowns
Before we explore the visuals, it’s worth distinguishing between dental crowns and dental bridges, as patients often confuse the two.
-
Dental Crowns: Designed to cover and protect a damaged or weakened tooth, a crown works like a protective cap that restores the tooth’s size, shape, and strength. Common materials include porcelain fused to metal, full ceramic, zirconia, or a combination.
-
Dental Bridges: Used to replace one or more missing teeth, a bridge uses two or more crowns on either side of the gap (called abutment teeth) to support the false teeth (pontics) between them. A well-designed bridge restores function, alignment, and aesthetics all at once.
Both treatments are fixed (non-removable) and custom-made to match the patient’s natural smile.
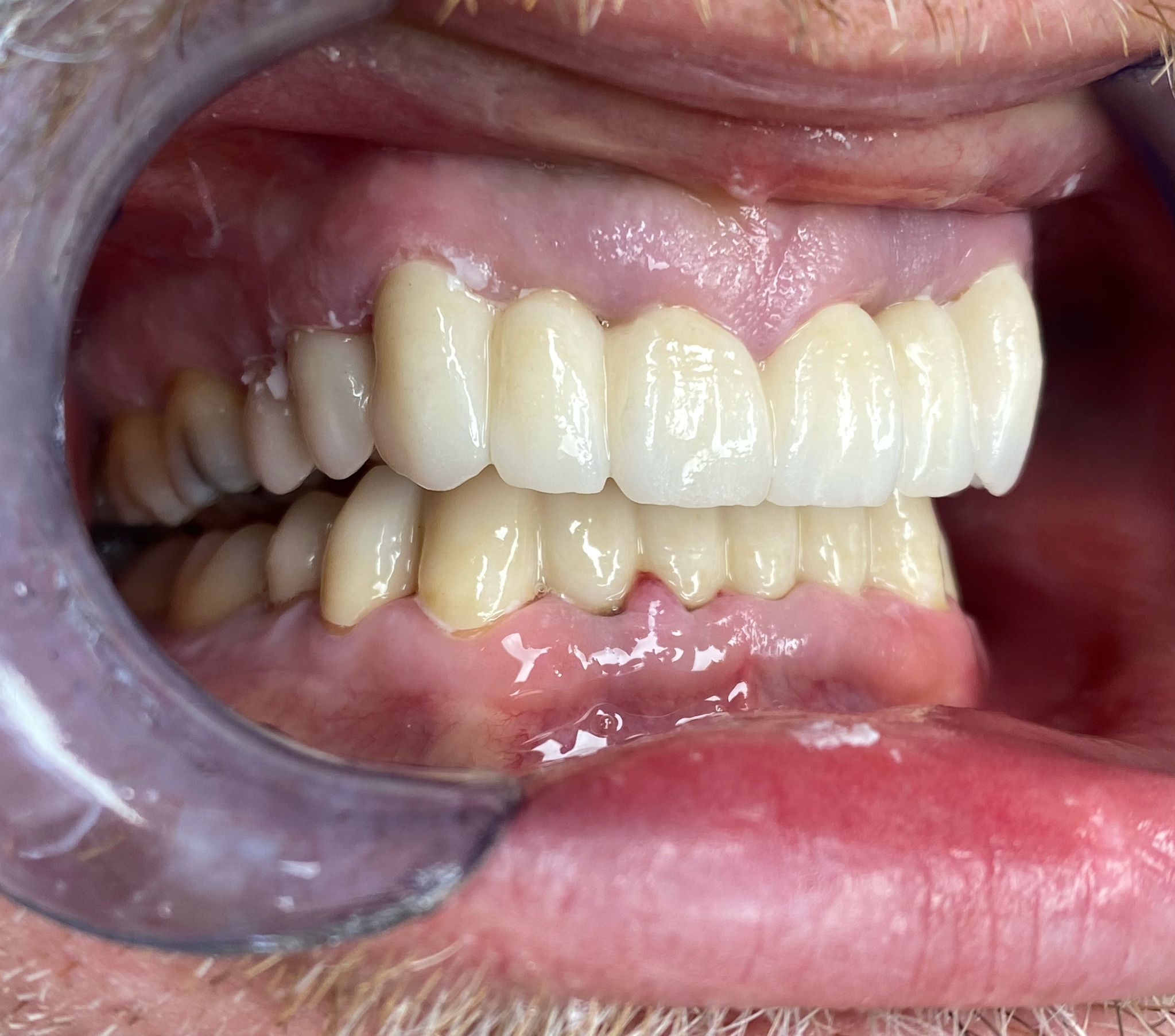
What to Check in Bridge and Crown Before and After Images
When browsing through dental clinic galleries, don’t just look at how “white” or “bright” the results appear. Aesthetic dentistry goes beyond whiteness—it’s about balance, proportion, and authenticity.
Here are key points to evaluate when reviewing before and after photos:
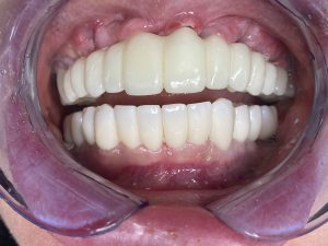
1. Natural Tooth Colour and Shade Matching
Natural teeth are never a single flat shade. They reflect light and have subtle colour gradients—typically slightly darker at the gum line and lighter near the edges.
Look for:
-
Smooth transitions between natural and restored teeth
-
No abrupt colour differences or opaque patches
-
A natural reflective surface without excess gloss
Good crown and bridge work should look invisible—as if the patient never had dental work done.
2. Shape and Proportion Harmony
Every smile is unique. The best dental restorations follow facial symmetry and adapt to the patient’s age, gender, and facial structure.
In photos, check that:
-
The shape of crowns complements the neighbouring teeth
-
The proportions (height, width, curvature) look consistent
-
The upper and lower teeth align naturally when smiling
Overly square or perfectly identical teeth may look artificial. Skilled dentists design individuality into each restoration to maintain a lifelike effect.
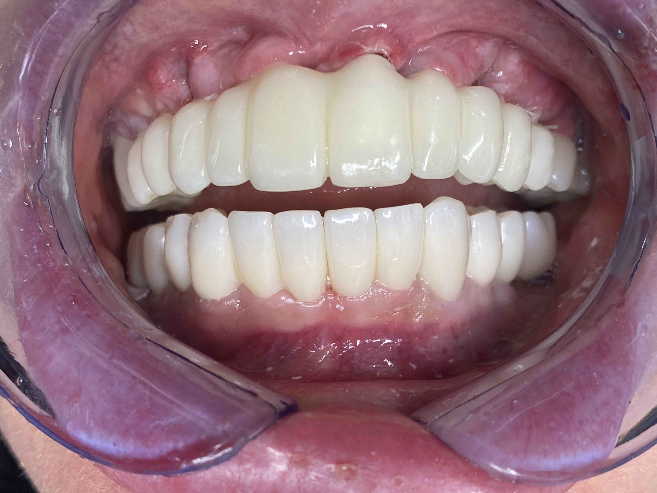
3. Gum Line and Tissue Health
Healthy gums frame a beautiful smile. Uneven gum lines, swelling, or redness in after photos may indicate poorly fitted restorations or insufficient healing time before capturing results.
Inspect the following:
-
Smooth, even gum contour around new crowns and bridges
-
No visible dark lines where crown edges meet the gums
-
A gentle and natural transition between gum and tooth
For high-end treatments, specialists often use zirconia or all-ceramic crowns to avoid the dark margins sometimes seen with older metal-based systems.
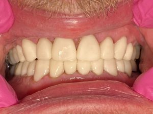
4. Alignment and Bite
In cases where multiple crowns or a full dental bridge were placed, alignment is critical for proper function. Poor alignment leads to discomfort, speech issues, and uneven wear.
You can identify good alignment in photos when:
-
Teeth line up naturally along the arch
-
There are no visible tilts, gaps, or irregular angles
-
The bite looks balanced from both front and side views
Correct alignment ensures not only an attractive smile but long-term durability and comfort.
5. Surface Texture and Light Reflection
The surface texture of real teeth is not entirely smooth—they have tiny grooves and light-reflecting variations that make them look alive. Skilled dental technicians recreate this in crowns and bridges.
When comparing photos, see if the restorations:
-
Reflect light like natural enamel
-
Show subtle textural differences rather than a uniform finish
-
Avoid an overly polished “plastic-like” look
High-quality ceramic work often possesses an organic translucency that sets it apart from cheaper or bulkier restorations.
Common Red Flags in Before and After Photos
Just as there are positive indicators, some warning signs may suggest staged or lower-quality work:
-
Identical lighting and expression: Real patients rarely pose perfectly; overly staged images might not be genuine.
-
Overexposed or filtered photos: Excess brightness hides imperfections.
-
Different lip positions hiding the gum line: This can conceal over-contouring or inflamed gums.
-
Fake stock images: Genuine before and after photos usually show consistent face shape, freckles, or skin details to prove authenticity.
Always look for consistency between the before and after shots. Small details reveal a lot about the clinic’s honesty and craftsmanship.
Why Budapest Is a Popular Choice for Crown and Bridge Treatments
Budapest has become one of Europe’s most trusted destinations for dental tourism, particularly for patients from Ireland and the UK. The city combines highly qualified dentists, modern clinics, and cost efficiency without sacrificing quality.
Many Budapest dental specialists trained in Western Europe and use the same advanced technologies—digital smile design, 3D scanning, and CAD/CAM milling—that top UK clinics employ. However, due to lower operating costs, patients often save 50–70% compared to prices back home.
Patients can also enjoy a relaxing city break while undergoing treatment, making the experience both practical and pleasant.
The Process: From Consultation to Beautiful Results
Before and after images you see online often represent a structured treatment sequence. Here’s how it typically unfolds:
-
Initial Consultation and Diagnostics
A thorough assessment with panoramic X-rays, 3D scans, and a detailed discussion about patient goals. -
Treatment Planning
The dentist designs a plan tailored to aesthetic and functional needs, often using digital previews. -
Tooth Preparation
For crowns or bridges, the natural teeth (or abutments) are shaped to fit the new restorations. -
Temporary Restorations
Temporary crowns or bridges protect the teeth while the final versions are crafted by the dental laboratory. -
Final Restoration
After precise shade matching and fitting, the permanent crowns or bridges are cemented in place. -
Aftercare and Maintenance
Patients receive guidance on hygiene, bite adjustment, and regular check-ups.
Every step of this process is crucial. High-quality clinics document each stage, enabling before and after photos that reflect genuine improvements rather than just cosmetic touch-ups.
What Properly Taken Before and After Images Should Include
A trustworthy dental gallery typically includes:
-
Consistent camera angle and lighting
-
Close-up intraoral images (showing teeth structure and gums clearly)
-
Smile photographs displaying the entire aesthetic result
-
Side and profile shots where alignment improvements are visible
-
Optional face shots to show impact on facial harmony
Before and after comparisons taken from identical perspectives help patients see authentic changes rather than stylistic differences caused by photography.
The Emotional and Functional Impact Beyond Aesthetics
The value of seeing accurate before and after results goes beyond surface beauty. Many patients report that well-designed crowns or bridges transform their daily comfort. Restoring proper chewing function can relieve muscle tension and even improve speech clarity.
Functionally successful treatments often lead to psychological benefits:
-
Increased confidence in social and professional settings
-
Greater comfort when smiling or laughing
-
Relief from chronic sensitivity or jaw discomfort
-
Renewed motivation for better oral hygiene
Good dentistry isn’t just cosmetic—it’s restorative in the most human sense.
Realistic Expectations: Every Smile Is Unique
It’s important to recognize that every patient’s initial situation, gum condition, bone density, and tooth shade differ. No two smiles will ever look identical, even under expert care.
When reviewing before and after images, focus on whether the direction of improvement matches your own goals. For instance:
-
Are you seeking natural enhancement or Hollywood brightness?
-
Do your gaps resemble the ones corrected in the images?
-
Do you notice similar challenges like wear, discoloration, or missing teeth?
Aligning your expectations with comparable cases will give you a more realistic idea of potential results.
How to Choose the Right Clinic Based on Before and After Results
Before traveling or booking treatment abroad, analyze the gallery with these questions in mind:
-
Are the photos authentic and consistent?
Look for faces, not just cropped smiles, and natural lighting. -
Is the dentist’s portfolio varied?
A range of cases (different ages, situations, materials) suggests broad expertise. -
Does the clinic share technical details?
Reputable practitioners often list material types—zirconia, e.max, porcelain—to demonstrate transparency. -
Are patient testimonials available alongside visuals?
Real-life feedback helps validate the photographic results. -
Do results show balance, not just brightness?
Elegance lies in natural harmony, not pure whiteness.
If the answers are mostly “yes,” you’re likely looking at a trusted and skilled provider.
The Specialist’s Touch: Lab Work and Collaboration
Behind every excellent before and after photo stands a team of professionals: the clinical dentist, the dental technician, and often a ceramist specializing in aesthetics.
Modern Budapest clinics collaborate with artisans who sculpt each restoration under magnification, layering ceramics by hand to achieve lifelike translucency. This craftsmanship—combined with digital precision—ensures that final results photograph beautifully because they are beautiful in reality.
Long-Term Results: Maintaining That New Smile
Seeing an impressive “after” image is exciting, but the most trustworthy clinics also show follow-up photos months or years later. These demonstrate durability, stability, and gum health over time.
Here’s how to keep your new crowns or bridge looking and feeling their best:
-
Maintain strict oral hygiene and use interdental brushes or floss threaders
-
Schedule professional cleanings twice a year, even if you live abroad
-
Avoid biting extremely hard foods (ice, uncracked nuts)
-
Use non-abrasive toothpaste to protect ceramic surfaces
Remember: longevity depends on both the quality of dental work and the care after treatment.
Example Transformations to Look For
To visualize realistic outcomes, look for before and after photos illustrating:
-
Single crown restorations: Fixing a chipped or discoloured tooth seamlessly blended with natural neighbours.
-
Three-unit bridges: Replacing a missing molar while preserving smile symmetry.
-
Full mouth rehabilitation: Complex restorations where crowns and bridges rebuild the bite and harmony of all teeth.
-
Combination treatments: Bridges combined with implants for more stable and aesthetic results.
Such examples demonstrate the variety of restorative possibilities and the dentist’s competency across multiple treatment categories.
Bringing Confidence Back to the Smile
Every high-quality before and after transformation represents a story: years of hiding a smile replaced by confidence, comfort, and pride. Modern materials and digital technologies have revolutionized how naturally crowns and bridges can blend with human tissue and facial expression.
Budapest’s dental clinics have become European leaders in combining advanced skill with caring hospitality for international patients. For those travelling from Ireland or the UK, these visual results often serve as reassurance that they can achieve life-changing dental transformations without compromise.
Key Takeaways When Evaluating Dental Bridge and Crown Photos
-
Focus on balance, proportion, and authenticity—not just shade.
-
Ensure gum lines look healthy and harmonious.
-
Look for consistent camera angles and lighting.
-
Verify that photos seem genuine and patient-specific.
-
Be wary of overly perfect or filtered imagery.
-
Choose clinics that present transparent case details and actual patient outcomes.
The more you learn to interpret before and after results, the closer you are to finding the right clinic for your dental restoration journey.
Final Thoughts
Dental crowns and bridges are more than dental appliances—they’re the artful reconstruction of confidence, function, and well-being. High-quality dentistry blends science with aesthetics, and authentic before and after images are living proof of that partnership.
For UK and Irish patients comparing options abroad, Budapest offers a tested path to affordable, world-class care. Still, the key is knowing what a true, high-standard transformation looks like.
Before booking, take your time studying those images closely. Real smiles speak volumes when the craftsmanship is genuine.








